Odontoiatra
Di qualunque cosa si tratti, il tuo sorriso è il nostro orgoglio
Lo studio dentistico Dott. Vincenzo Trentadue, situato nel poliambulatorio medico chirurgico Moro, offre un servizio a 360 gradi in tutte le discipline odontoiatriche.
Il Dott. Trentadue ha due Master in endodonzia e microchirurgia endodontica e Chirurgia implantare e rigenerativa ossea ed è Certified member della European society of endodontology e socio ordinario junior dell'accademia Italiana di endodonzia.
Lo studio dispone di attrezzature all’avanguardia come il microscopio operatorio , fondamentale per ottimizzare ed eccellere durante la realizzazione di ogni tipo di intervento.
La pulizia dei denti professionale, detta anche igiene dentale o detartrasi, serve a mantenere sana la dentatura naturale rimuovendo completamente tartaro e placca dentale in modo da prevenire patologie importanti come carie e gengivite.
In assenza di particolari criticità come la parodontite, comunemente conosciuta come piorrea, è consigliato sottoporsi a una seduta di igiene professionale almeno ogni 6 mesi.
Lo sbiancamento dentale è un trattamento odontoiatrico volto a ripristinare il colore naturale dei denti alterato da diversi fattori.
Lo sbiancamento serve a rimuovere i pigmenti sedimentati che sono responsabili della colorazione alterata della dentatura.
La chirurgia orale è una specializzazione medica che racchiude l'insieme degli interventi chirurgici legati alla risoluzione di patologie del cavo orale e alla ricostruzione ossea.
L’implantologia invece è una branca dell'odontoiatria che ha l'obiettivo di ripristinare i denti mancanti mediante l'inserimento di impianti in titanio all’interno dell’osso che fungeranno come nuove radici per la protesi.
L'ortodonzia è una specializzazione dedicata alla correzione del mal posizionamento dei denti attraverso l'utilizzo di dispositivi capaci di applicare forze specifiche come, per esempio, gli allineatori trasparenti o i bracket.
L'odontoiatria conservativa e l’endodonzia si occupano della prevenzione e della terapia di lesioni dovute a carie o traumi dentali. Viene definita conservativa perché mira a conservare i denti che altrimenti andrebbero distrutti dalla carie grazie alla ricostruzione del dente e/o alla sua devitalizzazione (Endodonzia).
Per protesi si intende quella branca dell’odontoiatria che realizza dispositivi medici per sostituire o ripristinare elementi dentari mancanti. Rientrano in questa definizione anche la singola corona (capsula) su dente o impianto e le faccette dentali in ceramica.
Comprende tutti quei trattamenti volti al ringiovanimento del sorriso e del viso in generale, includendo filler con acido ialuronico, biorivitalizzazione e peeling chimico.
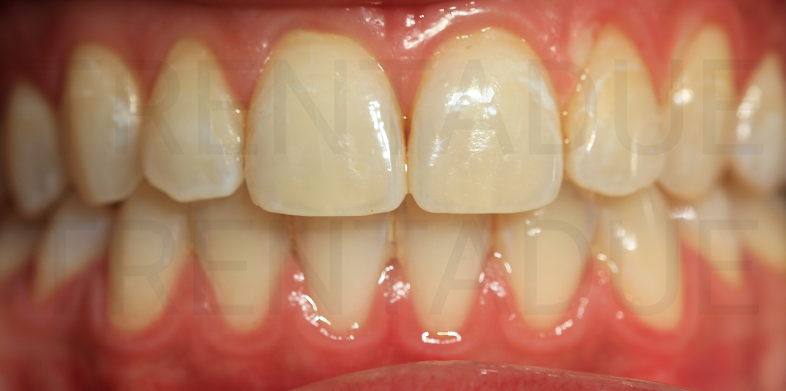
Prima: Immagine che mostra il sorriso naturale prima del trattamento di sbiancamento professionale. Si notano lievi discromie e un tono dentale non uniforme, comuni in seguito a esposizione a cibi, bevande e fattori ambientali. Questo stato iniziale rappresenta la condizione di partenza ideale per il processo di sbiancamento, volto a migliorare l’estetica dentale in modo sicuro e duraturo.
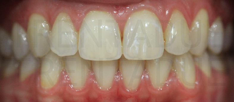
Dopo: Risultato ottenuto dopo il trattamento di sbiancamento professionale eseguito in studio. I denti appaiono significativamente più luminosi e uniformi nel colore, con un tono bianco naturale che valorizza il sorriso. Questo miglioramento estetico contribuisce a un aspetto più giovane e sano, frutto di una procedura sicura, personalizzata e certificata dai professionisti del settore odontoiatrico.
Prima: Il dente presentava una lesione cariosa estesa o una vecchia otturazione danneggiata, con perdita di struttura e indebolimento della corona. Esteticamente visibile e funzionalmente compromesso, causava fastidio durante la masticazione e aumentava il rischio di frattura.
Dopo: Dopo la rimozione della carie e la preparazione della cavità, è stato applicato un intarsio in composito realizzato su misura. Il restauro ha ripristinato l’integrità del dente in modo minimamente invasivo, garantendo una perfetta adesione, un'estetica naturale e una funzione masticatoria ottimale.
Prima: Immagine che mostra la situazione iniziale con la mancanza di tre elementi dentari consecutivi, con conseguente compromissione estetica e funzionale. La perdita dentale determinava difficoltà nella masticazione e un impatto negativo sul sorriso, rendendo necessaria una soluzione stabile e duratura. Questo stato rappresenta il punto di partenza ideale per un trattamento implantare mirato.
Dopo: Risultato ottenuto mediante l’inserimento di impianti dentali e la realizzazione di un ponte in zirconio a 3 elementi. La nuova protesi fissa si integra in modo armonioso con l’estetica del sorriso, garantendo al contempo piena funzionalità masticatoria. Il materiale in zirconio, altamente resistente e biocompatibile, assicura un risultato naturale, stabile e duraturo, restituendo al paziente comfort e sicurezza nella vita quotidiana.
Studio dentistico all’avanguardia! Mi sono sempre appoggiata a questo studio per pulizie e igiene, recentemente ho appena terminato il trattamento odontoiatrico con invisalign, in 6 mesi sorriso nuovo! Consiglio vivamente.
Sara L.
Il dottor Vincenzo è già ad altissimi livelli nel suo campo, con specializzazioni in corsi nazionali e internazionali. Il suo studio è ben attrezzato con tecnologie nuovissime e riesce a risolvere problematiche anche complesse. Consigliatissimo.
Davide D.
Consigliatomi da una coppia di amici medici quando ho avuto un problema e da allora sono sempre tornata da lui. Molto preparato e competente oltre che empatico con i pazienti fifoni come me. Consigliatissimo!”
Giuglia B.
Studio dentistico davvero fantastico ! Professionalità, pulizia, cortesia. Il Dott.Trentadue sempre pronto a consigliare il meglio e a proporre soluzioni per ogni esigenza! Vale sicuramente più di 5 stelle! Bravo bravo bravo!
Greta C.
Professionalità, cortesia e competenza, sia da un punto di vista umano che lavorativo. Peccato non averlo conosciuto prima.
Marco G.




